Size: a a a

Записки ветврача 📝

2018 March 26
Записки ветврача 📝
Периодически от наших подписчиков поступают интересные вопросы. Так и на днях, поступил вопрос от
источник
Записки ветврача 📝
Переслано от Александра Бородина...
А можно попросить вас рассказать о чистке зубов (методы и т.д.), как влияет питание на скорость роста зубного налета, профилактика (в дентастикс не очень верится), как связан зубной камень и заболевания ЖКТ
источник
Записки ветврача 📝
источник
2018 March 28
Записки ветврача 📝
#кошки
Скоро начинается дачный сезон, и многих этот вопрос интересует.
http://telegra.ph/Umeyut-li-koshki-otyskivat-dorogu-domoj-03-24
источник
2018 March 30
Записки ветврача 📝
источник
2018 March 31
Записки ветврача 📝
источник
2018 April 01
Записки ветврача 📝
источник
2018 April 02
Записки ветврача 📝
В желудке визуализируется рентгеноконтрастное, четко определенное, центрально заполненное газом инородное тело: теннисный мячик!
источник
2018 April 03
Записки ветврача 📝
На фото кот, палец которого попал в расщелину между пазами батареи. Выбрался только с помощью хозяев. Как итог, сильный отек лапы и перелом пальца. Сейчас с котиком все хорошо, но будьте бдительны!
источник
2018 April 04
Записки ветврача 📝
Напоминаем, что до конца конкурса осталось совсем немного времени! Не забывайте принять участие😉http://telegra.ph/Vnimanie-konkurs-03-23
источник
Записки ветврача 📝
источник
2018 April 06
Записки ветврача 📝
http://www.bbc.com/russian/features/2016/06/160623_dog_friendly_hotels_service
В последние годы по всему миру заметно увеличилось количество гостиниц, где можно поселиться со своим питомцем. Эта услуга настолько популярна, что многие отели идут на беспрецедентные шаги, чтобы создать особую атмосферу для домашних любимцев.
источник
2018 April 09
Записки ветврача 📝
Поздравляем с новой неделей после праздников! А на видео развивается новая жизнь!
источник
2018 April 10
Записки ветврача 📝
источник
Записки ветврача 📝
источник
2018 April 12
Записки ветврача 📝
источник
2018 April 14
Записки ветврача 📝
Установка стента, при коллапсе трахеи у собаки.
источник
2018 April 18
Записки ветврача 📝
Продолжаем радовать вас наглядными картинками! На короткой гифке, в ультразвуковой диагностике это называется "кинопетля", отчетливо видны 3-4 камня в мочевом пузыре.
источник
2018 April 19
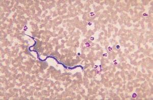
Записки ветврача 📝
На фото личинка сердечного червя среди эритроцитов и небольшого количества лейкоцитов. Болеют преимущественно собаки, в нашей полосе встречается довольно часто. Переносчиком являются комары.
источник
2018 April 20
Записки ветврача 📝
источник