Size: a a a

Radiology/Рентгенология Чатоид

2018 December 27

NL

Nikita Levin in Radiology/Рентгенология Чатоид
источник

NL

Nikita Levin in Radiology/Рентгенология Чатоид
Справа привет
источник

NL

Nikita Levin in Radiology/Рентгенология Чатоид
Нужен архив, либо это фиброз такой и утолщена плевра либо исход плеврита
источник

l

lizabes in Radiology/Рентгенология Чатоид
Фото от Елизавета
источник

l

lizabes in Radiology/Рентгенология Чатоид
Для поднятия настроения
источник

Н

Надежда Шкловец... in Radiology/Рентгенология Чатоид
Сурово!
источник

NL

Nikita Levin in Radiology/Рентгенология Чатоид
Переслано от Nikita Levin
Господа, как вы боретесь с внутренней усталостью от работы и эмоциональным выгоранием?
источник

M

Maksim Alekseyevich in Radiology/Рентгенология Чатоид
lizabes
Фото от Елизавета
источник

M

Maksim Alekseyevich in Radiology/Рентгенология Чатоид
Nikita Levin
Переслано от Nikita Levin
Господа, как вы боретесь с внутренней усталостью от работы и эмоциональным выгоранием?
Стараемся отвлекаться больше и стремиться работать на более высокотехнологичных методиках.
источник

NL

Nikita Levin in Radiology/Рентгенология Чатоид
Попробую, спасибо 😊
источник
2018 December 28

АС

Алексей Станиславови... in Radiology/Рентгенология Чатоид
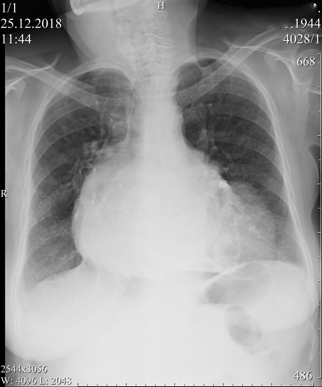
Доброе утро коллеги. Недавно в п-ку пришла пациентка... Я даже не поленился притащить флэшку, чтобы скинуть изображения в оригинале. Не фоткать с экрана. Оцените вот, какая красота!
источник

АС

Алексей Станиславови... in Radiology/Рентгенология Чатоид
источник

АС

Алексей Станиславови... in Radiology/Рентгенология Чатоид
источник

АС

Алексей Станиславови... in Radiology/Рентгенология Чатоид
В левом желудочке предположил аневризму. Ну и панцирное сердце.
источник

NK

ID:437862120 in Radiology/Рентгенология Чатоид
Перикардиальная киста
источник

P

PEDIATRIC RADIOLOGIS... in Radiology/Рентгенология Чатоид
Алексей Станиславович
В левом желудочке предположил аневризму. Ну и панцирное сердце.
Да, дооолгий перикардит приводит к отложению Са в сердечной сумке.
источник

АС

Алексей Станиславови... in Radiology/Рентгенология Чатоид
PEDIATRIC RADIOLOGIST
Да, дооолгий перикардит приводит к отложению Са в сердечной сумке.
Так точно
источник

АС

Алексей Станиславови... in Radiology/Рентгенология Чатоид
ID:437862120
Перикардиальная киста
А хорошая версия. Пожалуй, она мне нравится даже больше аневризмы. Впишу через слэш, как дифдиагноз. Спасибочки.
источник

NL

Nikita Levin in Radiology/Рентгенология Чатоид
И на КТ
источник

NL

Nikita Levin in Radiology/Рентгенология Чатоид
Между панцирным и кистой
источник