Size: a a a

Radiology/Рентгенология Чатоид

2020 September 25

А

Астхик in Radiology/Рентгенология Чатоид
Добрый день , коллеги . Посмотрите снимок пожалуйста . Женщина 1941 г. , неделю температура и кашель . Экспресс тест на ковид отрицательный
источник

А

Астхик in Radiology/Рентгенология Чатоид
источник

А

Астхик in Radiology/Рентгенология Чатоид
источник

А

Астхик in Radiology/Рентгенология Чатоид
источник

NL

Nikita Levin in Radiology/Рентгенология Чатоид
Dr.Tanechka
А на 7 справа аномалия?
Да
источник

A

Alena in Radiology/Рентгенология Чатоид
Александр
1987 г. Похоже на бифида S1 или срослись так?
Похоже на spina
источник

AA

Anastasia Anastasia in Radiology/Рентгенология Чатоид
источник

AA

Anastasia Anastasia in Radiology/Рентгенология Чатоид
Добрый день, коллеги. Мальчик 13 лет. Боли в копчике с марта месяца. Травму отрицает.
источник

А

Александр in Radiology/Рентгенология Чатоид
Можно же не исключить сакроиелит справа и проекомендовать МРТ?
источник

А

Александр in Radiology/Рентгенология Чатоид
источник

А

Александр in Radiology/Рентгенология Чатоид
источник

SE

Soul Enhance in Radiology/Рентгенология Чатоид
В
источник

Е

Евгений in Radiology/Рентгенология Чатоид
Суставные щели кпс прослеживаются, сакроилеита точно нет
источник

I

Iryn Karakurtina in Radiology/Рентгенология Чатоид
Anastasia Anastasia
Видишь травму? А она есть...
источник

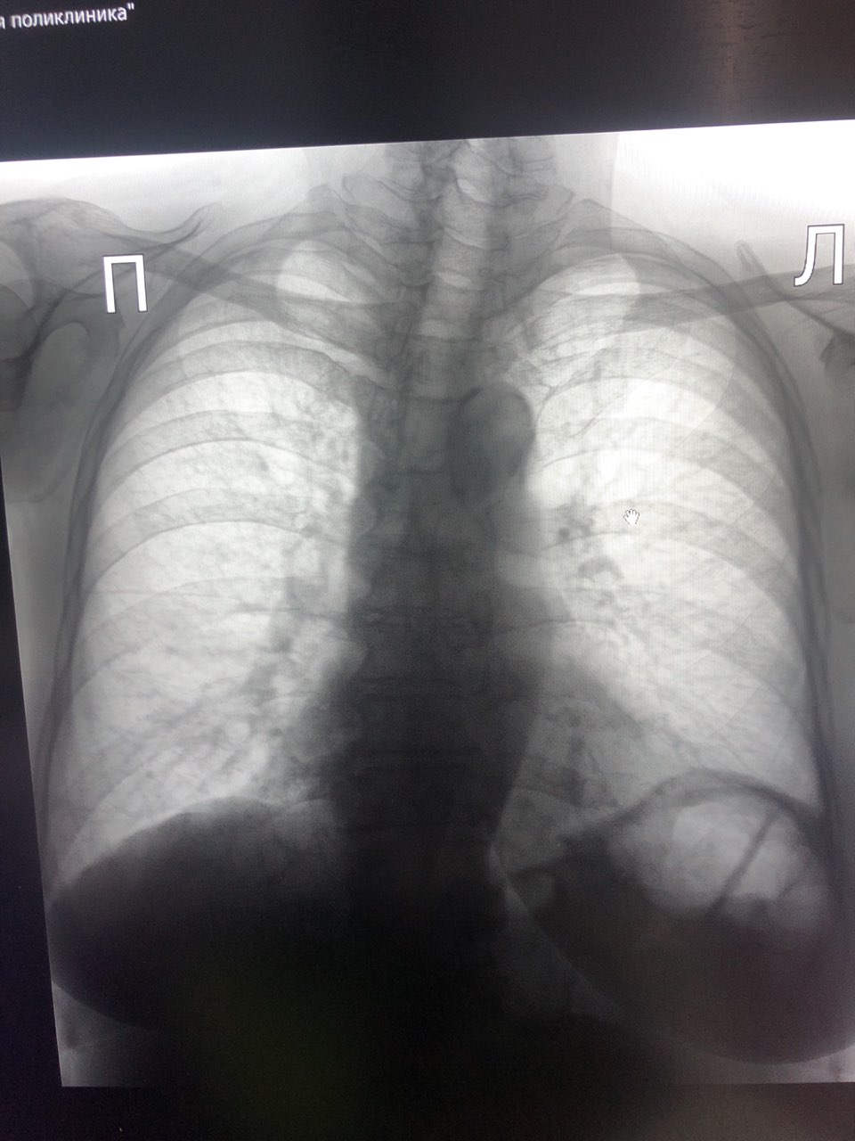
Р

Роман in Radiology/Рентгенология Чатоид
65 лет, пациент из кардиологии, возрастные изменения, застой в МКК, аортосклероз?
источник

Р

Роман in Radiology/Рентгенология Чатоид
источник

А

Александр in Radiology/Рентгенология Чатоид
Евгений
Суставные щели кпс прослеживаются, сакроилеита точно нет
Меня смущает разница с двух сторон, и справа какая-то неравномерность
источник

А

Астхик in Radiology/Рентгенология Чатоид
.
источник

Э

Элина in Radiology/Рентгенология Чатоид
G
источник

G

Group in Radiology/Рентгенология Чатоид
Переслано от Angie
Дорогие друзья, Radiology 🎓 Pro запускает образовательные стримы!
🔥 Не пропустите самое интересное!
🎬 Уже в это воскресенье встречаемся в прямом эфире!

💡Тема: Физика МРТ
📅 Когда: 27 сентября, воскресенье
⏰ Время: 19:00 по Мск
💰 Цена: 500₽ за 1 стрим или 1000₽ при покупке пака из 4 стримов.
🔥Реквизиты:
• ВТБ банк   4893 4705 1108 1231
• Тинькофф 5536 9138 8319 7465
• Сбербанк  4274 3200 5107 3081
• Paypal  https://www.paypal.me/angelinakanovsky
📲 Связь: Angie_MD
P.S. Не забудьте приготовить чай с печеньками ☕🍪

До скорого! 🔥
источник