Size: a a a

Radiology/Рентгенология Чатоид

2020 September 21

ТТ

Таня Тимонина... in Radiology/Рентгенология Чатоид
Билол Халимов
ВМС
Спасибо 😊
источник

D

Dr.Tanechka in Radiology/Рентгенология Чатоид
Не нравится внизу справа. Или все же норма?
источник

БХ

Билол Халимов... in Radiology/Рентгенология Чатоид
кт и тест на ковид
источник

D

Dr.Tanechka in Radiology/Рентгенология Чатоид
источник

D

Dr.Tanechka in Radiology/Рентгенология Чатоид
Билол Халимов
кт и тест на ковид
Ковид отрицательный
источник

БХ

Билол Халимов... in Radiology/Рентгенология Чатоид
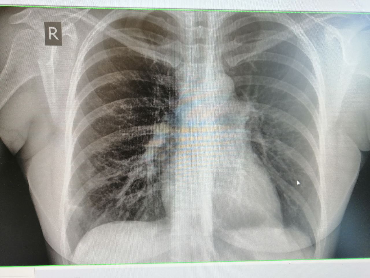
справа по ходу паракостальной плеевры имеется инфильтративные изменения легочной ткани.
источник

D

Dr.Tanechka in Radiology/Рентгенология Чатоид
источник

БХ

Билол Халимов... in Radiology/Рентгенология Чатоид
Dr.Tanechka
Ковид отрицательный
ПЦР или тест?
источник

D

Dr.Tanechka in Radiology/Рентгенология Чатоид
Билол Халимов
ПЦР или тест?
Пцр
источник

БХ

Билол Халимов... in Radiology/Рентгенология Чатоид
Правая грудь в норме? по возможности снимите правый боковой снимок
источник

D

Dr.Tanechka in Radiology/Рентгенология Чатоид
источник

D

Dr.Tanechka in Radiology/Рентгенология Чатоид
Этот участок не нравится
источник

БХ

Билол Халимов... in Radiology/Рентгенология Чатоид
да
источник

D

Dr.Tanechka in Radiology/Рентгенология Чатоид
Билол Халимов
Правая грудь в норме? по возможности снимите правый боковой снимок
Есть только задняя проекция
источник

D

Dr.Tanechka in Radiology/Рентгенология Чатоид
источник

БХ

Билол Халимов... in Radiology/Рентгенология Чатоид
тогда отправьте на кт
источник

БХ

Билол Халимов... in Radiology/Рентгенология Чатоид
правая грудь уплотнена и инфильтрация сохраняется
источник

D

Dr.Tanechka in Radiology/Рентгенология Чатоид
Билол Халимов
правая грудь уплотнена и инфильтрация сохраняется
Спасибо)
источник

БХ

Билол Халимов... in Radiology/Рентгенология Чатоид
Dr.Tanechka
Спасибо)
не за что
источник

М

Маруська in Radiology/Рентгенология Чатоид
Женщина, 60лет. В анамнезе рак молочной железы.  Череп уплотнен? Мтс?
источник