Size: a a a

Radiology/Рентгенология Чатоид

2020 May 11

КK

Казбек Kazbek in Radiology/Рентгенология Чатоид
День добрый
источник

КK

Казбек Kazbek in Radiology/Рентгенология Чатоид
Друзья Рентгенологи ))) сесамовидная кость называется не "коленная чашечка" , а надколенник
источник

М

Маруська in Radiology/Рентгенология Чатоид
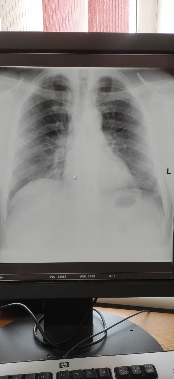
Женщина, 49 лет, жалобы кашель, температура 37.4. здесь двухсторонняя или я уже придираюсь
источник

EA

Ekaterina Alexandrov... in Radiology/Рентгенология Чатоид
Лично мне с 2 сторон не нравится
источник

A*

Asik **** in Radiology/Рентгенология Чатоид
После перенесенога эксудативной плеврит
источник

Q

Quadratus in Radiology/Рентгенология Чатоид
Маруська
Женщина, 49 лет, жалобы кашель, температура 37.4. здесь двухсторонняя или я уже придираюсь
Ковид
источник

КK

Казбек Kazbek in Radiology/Рентгенология Чатоид
Да двухсторонняя пневмония, но по стандарту диагностики больных с SARS COV2 ,надо КТ ей
источник

КK

Казбек Kazbek in Radiology/Рентгенология Чатоид
Симптом матового стекла , если я не ошибаюсь
источник

М

Маруська in Radiology/Рентгенология Чатоид
Quadratus
Ковид
Я так и написала
источник

Q

Quadratus in Radiology/Рентгенология Чатоид
Маруська
Я так и написала
👍
источник

М

Маруська in Radiology/Рентгенология Чатоид
Мужчина, 45 лет. Кашель, температура 39
источник

М

Маруська in Radiology/Рентгенология Чатоид
Есть же пневмония?
источник

Q

Quadratus in Radiology/Рентгенология Чатоид
Маруська
Мужчина, 45 лет. Кашель, температура 39
Так же как и там
источник

Q

Quadratus in Radiology/Рентгенология Чатоид
Маруська
Мужчина, 45 лет. Кашель, температура 39
Пошла эпидемия у вас
источник

М

Маруська in Radiology/Рентгенология Чатоид
Да, начался этот кошмар
источник

М

Максим in Radiology/Рентгенология Чатоид
У меня аналогичный случай был на дежурстве....
источник

М

Максим in Radiology/Рентгенология Чатоид
источник

М

Максим in Radiology/Рентгенология Чатоид
Сорян,фио не закрасил
источник

Q

Quadratus in Radiology/Рентгенология Чатоид
Ковидный
источник

JS

John Smith in Radiology/Рентгенология Чатоид
источник